资讯中心
作者:来源:医麦客
发布时间:2018-09-26
阅读:14390
近期,来自宾夕法尼亚大学佩尔曼医学院的研究团队发现一种治疗用疫苗可以增强抗体和T细胞,帮助它们浸润到肿瘤中并抵抗人乳头瘤病毒(HPV)相关的头颈癌。该研究团队在两组晚期头颈部鳞状细胞癌(HNSCCa)患者中测试这种免疫治疗方法,发现86%的患者T细胞活性升高。这是第一项显示疫苗可以帮助免疫细胞浸润肿瘤的研究,相关结果发表在《Clinical Cancer Research》期刊上。其中,该研究中还描述了一名患者在接受疫苗治疗后,7个月后发生转移性疾病,然后接受了抗PD-1免疫治疗,现已持续缓解超过两年。

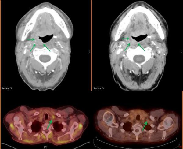
转移性头颈癌患者在接受PD-1抗体治疗后,获得完全缓解(图片来源 clincancerre)
HPV相关头颈部鳞状细胞癌
头颈部所发生的肿瘤,其原发部位和病理类型之多,居全身肿瘤之首。且超过90%的头颈部肿瘤为鳞状细胞癌(HNSCCa)。而且最近10年全球头颈部鳞状细胞癌的发病率明显上升,特别是在女性中。
而烟草和究竟已是众所周知的诱因,但与HPV感染相关的病例数也很是常见。疾病控制中心(CDC)表示,几乎所有性活跃的成年人都会在其一生中的某个时刻感染它,这是增长最快的癌症类型之一。据疾病预防控制中心估计,现在美国70%的头颈部癌症都与HPV有关(最常见的为HPV16和18亚型)。
目前,HNSCCa患者能够从包括手术或放化疗等传统治疗方案中获得良好结果,且对于对治疗没有反应或转移性疾病的患者,也可选择已获批上市的PD-1抗体药物治疗。然而,有效率仅为15%。
促进T细胞浸润肿瘤 引起HPV相关头颈癌免疫应答
MEDI0457(曾用名INO-3112)是一款治疗用疫苗,I/II期临床试验初步结果表明,该DNA疫苗在局部晚期HPV相关HNSCC患者中产生HPV特异性CD8+T细胞免疫力,并且安全性良好。其主要成分为两种:VGX-3100和INO-9012。最初是由DNA 疫苗研发的领头羊Inovio开发,基于其诱导抗原特异性免疫反应的ASPIRE 技术平台和能提高免疫治疗药物的运输效率的Cellectra电穿孔技术。将优化后的 DNA 传递到细胞中,使之被翻译成能够激活个体免疫系统的蛋白质,从而产生强大的免疫反应。
2015年8月,阿斯利康(AstraZeneca)旗下负责全球生物制品研发的MedImmune获得该药物的专有权。在本次试验中,研究人员想知道这种疫苗是否可以增强HPV相关头颈癌患者的免疫系统,为其他现有免疫疗法提供更好的反应率。

临床试验设计(图片来源 clincancerre)
研究人员将21名患者分为两组,分别给予4个剂量的MEDI0457。其中第一组患者在手术前接受1个剂量,然后在手术后接受三次剂量的治疗。第二组患者在经历化放疗之后接受4个剂量的给药。临床结果显示:21名患者中有18名患者的T细胞活性升高,且距离最后一次疫苗接种后,至少能够持续3个月,这意味着免疫效果从免疫治疗开始至少持续6个月。研究人员在一剂疫苗之前和之后对五个肿瘤进行了活组织检查,有证据表明T细胞在所有五个接受疫苗治疗后的样本中均发生了抗原反应。

MEDI0457促进T细胞浸润肿瘤(图片来源 clincancerre)
该研究的主要负责人Charu Aggarwal博士表示,先前其利用一个剂量的疫苗进行试验并未观察到这种浸润肿瘤的现象。此次的研究结果无疑为利用针对HPV等特定致癌靶点的免疫治疗方法打开了一扇大门。而且这款疫苗的耐受性也很好,患者仅在注射部位发生手臂疼痛,没有任何严重副作用的报告。另外,论文作者还特别描述了一名患者的病例,该患者在手术前接受了一剂疫苗接种,在治疗后7个月出现转移复发,此时他接受了PD-1抑制剂Nivolumab并持续完全缓解。两年后,仍然没有任何疾病迹象。对此,Aggarwal表示:“这种反应表明该疫苗可能以某种方式引发免疫系统,或增强后续抗PD-1治疗的效果。”
目前,宾大已开展了相关临床试验的招募工作,旨在评估该DNA疫苗联合PD-1抗体治疗转移性HPV相关头颈癌患者的安全性及有效性。毕竟这是一项相对较小的单中心研究,临床结果需要在更多的患者群体中得到证实。
参考出处:
https://www.pennmedicine.org/news/news-releases/2018/september/dna-vaccine-leads-to-immune-responses-in-hpv-related-head-and-neck-cancer
DOI: 10.1158/1078-0432.CCR-18-1763
https://immuno-oncologynews.com/medi0457/